Tratamento de canal com Microscópio e Laser. Normalmente em sessão única.
Endodontia com Microscópio
Endodontia com Laser (PDT)




Endodontia
Tratamento de Canal
Microscopia e Laser
Goiânia-GO
Dr. Marcelo Vaz Duarte, CROGO 9042, endodontista em Goiânia, graduado(1994) e especialista (1997) pela Unesp-FOA-Araraquara com 31 anos de experiência, oferece tratamento de canal, remoção de pino, endoguide, utilizando tecnologia avançada como microscopia e laserterapia(PDT) para garantir a saúde dental, realizando a endodontia no padrão mais elevado de tratamento.


O Endodontista
Endodontia com Técnicas Avançadas
Endodontia é uma especialidade de odontologia. O endodontista é o responsável em realizar o tratamento de canal radicular. É o procedimento que faz a limpeza adequada nos condutos internos das raízes, removendo a polpa dentária inflamada e/ou infectada. Consiste na retirada total da polpa através da limpeza com soluções irrigantes e limas especiais, para depois preencher o interior das raízes com um material selador, que ajuda a manter a parte de dentro do dente livre de contaminação e assim promover a saúde bucal, evitando a perda prematura de um dente devolvendo a sua função estética e funcional.
Endodontia


Realizamos tratamento de canal em sessão única, com técnica moderna e eficaz. Há casos de infecções que a endodontia deve ser realizada em mais sessões.




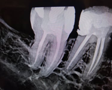
Condutos Radiculares
Os condutos radiculares(canais) limpos garantem um maior índice de sucesso na endodontia.
Casos complexos onde há calcificações/obliterações na entrada do conduto. Essa guia vence esse obstáculo liberando o canal para uma desinfecção e uma endodontia de qualidade.
Tecnologia de ponta Endoguide
Canais Obturados

O tratamento de canal foi rápido e eficiente. O Dr. Marcelo é muito atencioso e utiliza tecnologia avançada. Recomendo a Endodontia Goiânia para todos!
João Silva
★★★★★